Foot osteoarthritis (OA) is increasingly recognized as a major contributor to the overall pain and burden of OA, affecting approximately one in six adults older than 50 and greatly affecting physical function and quality of life (QoL).1 In the foot, the first metatarsophalangeal joint (great toe) is the most common reported site for symptomatic OA, followed by several joints of the midfoot.1

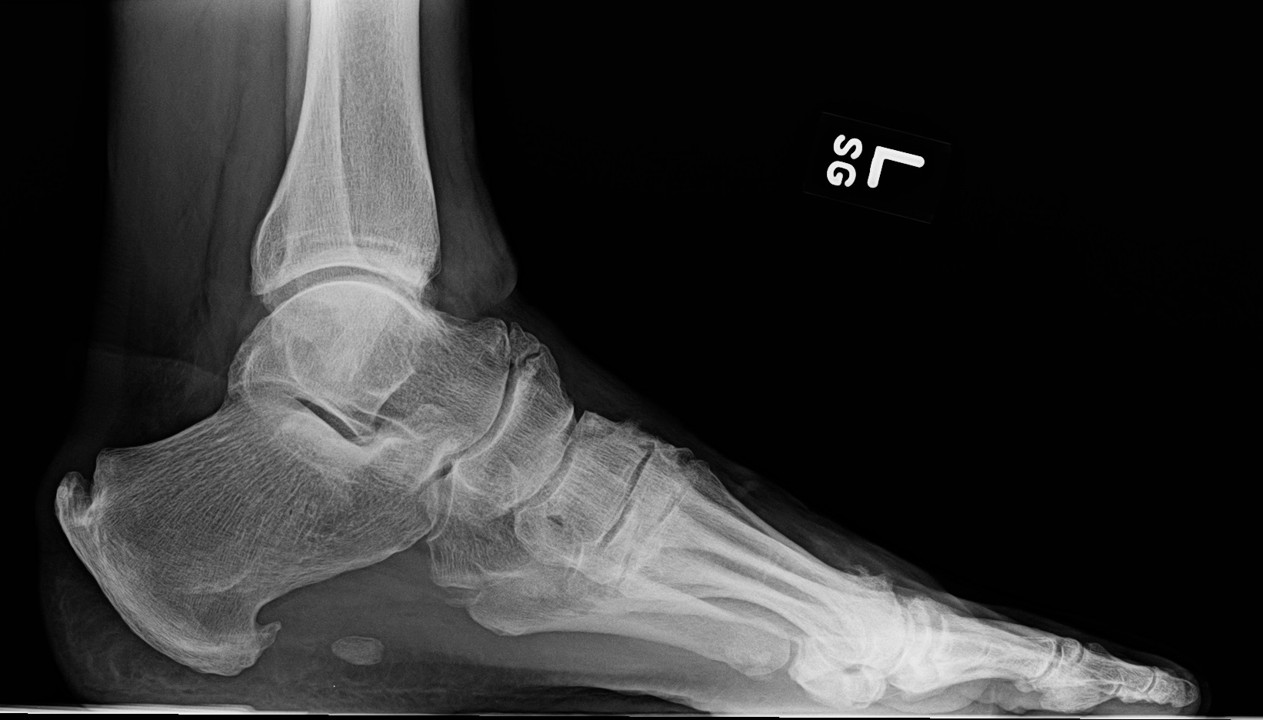
FIGURES 1: Midfoot osteophytes and joint space narrowing in left foot of 56-year-old male. (Click to enlarge.)
What Is Midfoot OA?
Midfoot osteoarthritis (OA) is a subtype of foot OA in which OA exists in one or more joints of the midfoot, most often the tarsometatarsal, talonavicular or naviculocuneiform joints (see Figure 1). OA in this region is relatively under-recognized but is a key contributor to foot pain and disability, especially in middle-to-older-aged adults.
Among adults older than 50, at least one in eight has symptomatic midfoot OA.1,2 Factors associated with symptomatic midfoot OA include older age, female sex, history of foot/ankle injury, pronated foot posture, obesity, manual occupations and pain at other weight-loaded joint sites (e.g., knees, hips).2,3 Midfoot OA shares many risk factors with other OA sites, such as the knee and hip.
Midfoot OA can occur in isolation or coexist with conditions such as rheumatoid arthritis and OA at forefoot joints. People with foot pain will often experience multi-site joint pains, which is a more likely presentation in rheumatology services.4,5 Foot pain can be overlooked during clinical exam, despite profound symptoms.6
Living with Midfoot OA?
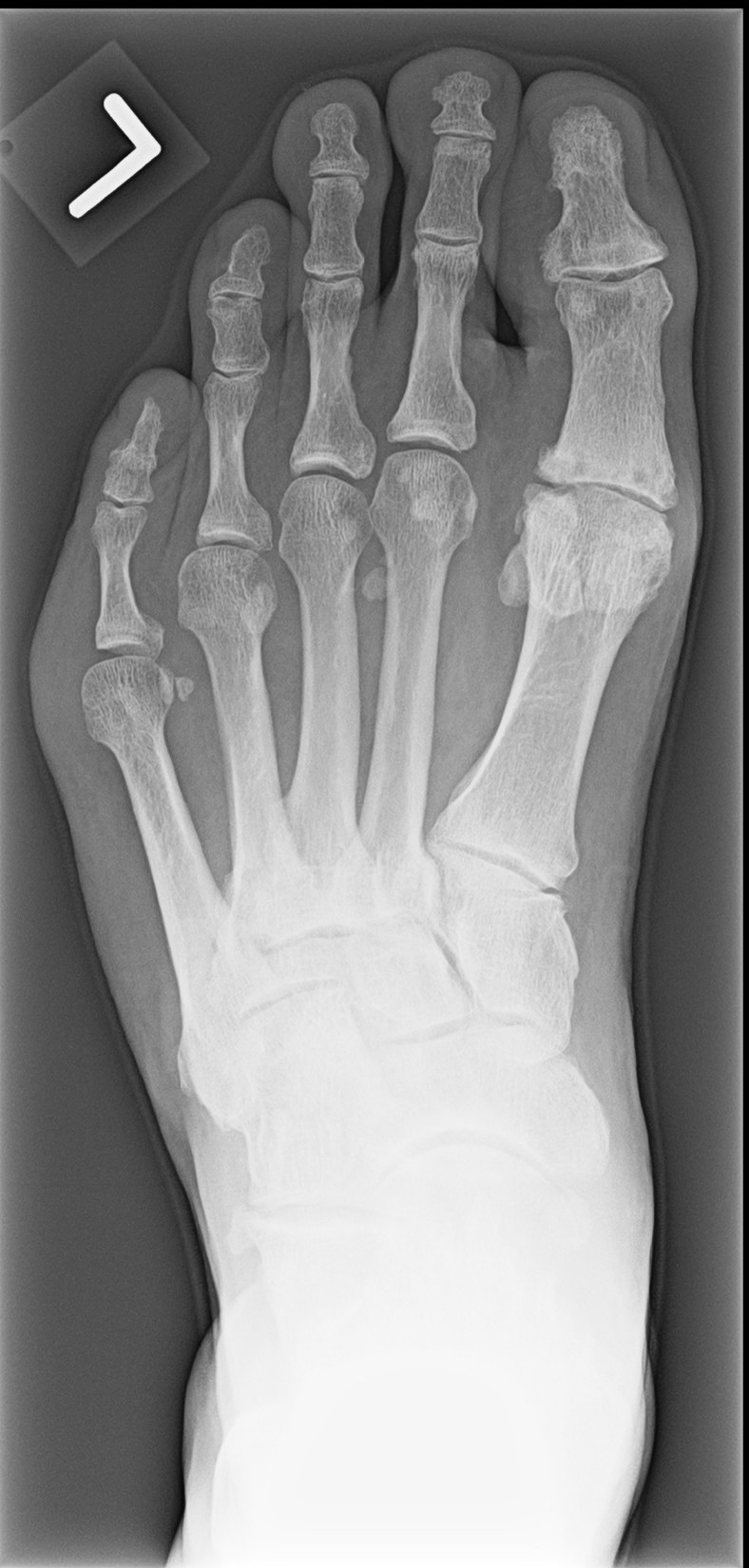
Living with midfoot OA can be a daily struggle marked by persistent pain, stiffness or swelling. This can significantly affect mobility, making simple activities such as walking, prolonged standing, or climbing stairs difficult or exhausting.1,7,8 Discomfort often worsens during and after activity but can also occur at rest. Pain is just one aspect experienced by people living with midfoot OA. Changes in foot posture, such as flattening of the arch (Figure 2) and bony deformities, are common and can make finding suitable footwear difficult.9
Emotional well-being is often affected in people with midfoot OA, contributing to frustration, anxiety, and social withdrawal. People with midfoot OA often limit or stop social, physical and work activities, with family life and relationships also affected.10,11 These feelings are often exacerbated by a perceived lack of information about how to treat and manage midfoot OA effectively.10,11
