“Following successful clinical trials and multiple approved therapies for pulmonary arterial hypertension in systemic sclerosis (SSc) over the past two decades, interstitial lung disease (ILD) is currently the most lethal complication of this challenging disease,” says Christopher Denton, MBBS, PhD, FRCP, FMedSci, professor of experimental rheumatology at University College London (UCL) and consultant rheumatologist and head of the Centre for Rheumatology, Royal Free Hospital, London.
Dr. Denton is the corresponding author of a review that is part of a series on immunology for rheumatologists published in Arthritis & Rheumatology (A&R).1 In this new installment, Dr. Denton and co-authors Nina Goldman, MB Bchir, and Voon Ong, MBBS, PhD, FRCP, review B cells and SSc-ILD.2 Dr. Goldman is a clinical research fellow at UCL and respiratory specialist registrar at NHS Foundation Trust in North East London, and Dr. Ong is a professor of rheumatology and consultant rheumatologist at UCL.
Targeting B Cells in SSc-ILD
“From reading our article, practicing rheumatologists will better understand the reasons behind targeting B cells in SSc-ILD and how it is currently achieved,” Dr. Denton explains. “Our ‘real world’ illustrative case provides readers with an example of clinically meaningful impact.”
The review article centers on a patient case study demonstrating the progression of SSc-ILD, a complication that is a leading cause of mortality and morbidity in SSc. The case study “highlights the diverse range of patients with progressive SSc-ILD where additional biologic therapy can be considered, and also the need to be cognizant of non-ATA [anti-topoisomerase 1 antibody] high risk SSc-ILD antibodies,” the authors write.
Returning to the clinical case throughout the review, the authors discuss the pathogenesis of SSc-ILD, the autoantibody profile of SSc-ILD and the role of B cells in the disease. They detail the treatment options for SSc-ILD, including cyclophosphamide, mycophenolate mofetil, rituximab, nintedanib and tocilizumab, as well as the evidence for B cell therapies and the risks associated with treatment.
Chimeric antigen receptor (CAR) T therapy that “targets CD19 potentially may overcome the limitations of CD20-targeted strategies including rituximab and may target lesional pathogenic antibodies conferring a deep depletive effect,” the authors write.

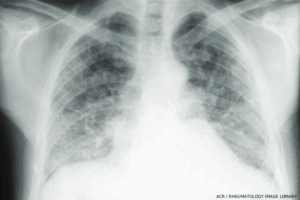
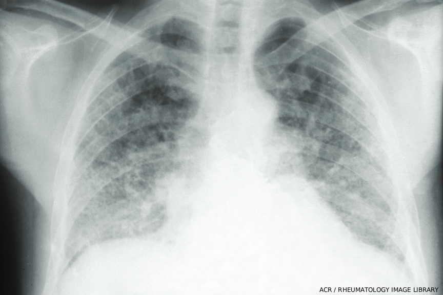
Bilateral interstitial fibrosis involving the lower two-thirds of the lung fields is common in systemic sclerosis. In the lower lung fields are “honeycomb” changes. The heart is not enlarged. (Click to enlarge.)
Along with more than 100 references, the review includes four informative tables. The tables detail the trajectory of the lung function in the patient case study, the main associations of autoantibody profile in SSc-ILD, drugs used for the treatment of the disease and investigational B cell therapies in SSc.
Additionally, four figures and legends demonstrate the patient’s lung function trajectory, the high-resolution computed tomography (CT) scan of the patient’s chest showing progression from a prior scan, an overview of the pathogenesis of SSc-ILD, along with the role of B cells in the disease and a pictorial summary of the patient case study.
Patient Case Study
The case study follows a 69-year-old man diagnosed with diffuse cutaneous SSc in 2014. The patient’s history revealed Raynaud’s symptoms in September 2013, followed by digital puffiness in January 2014. Over the next six months, he developed skin thickening on the upper limbs and chest and experienced reflux, proximal muscle weakness and weight loss. Tests around the time of his diagnosis, in August 2014, showed a modified Rodnan skin score (mRSS) of 19/51, hemoglobin 127 g/L, creatine kinase 757 IU/L, C-reactive protein (CRP) <1 mg/L, erythrocyte sedimentation rate (ESR) 2 mm/hr, N-terminal pro-B-type natriuretic peptide (NT-proBNP) 26 pmol/L (high >236) and esophageal dysmotility. HRCT confirmed ILD.
The patient started immunosuppressive therapy comprising mycophenolate mofetil, 2 g daily, for active skin disease and ILD, and prednisolone, 20 mg daily, for myositis. Later that year, he developed complete heart block, requiring a pacemaker. A 2015 echocardiogram showed a left ventricular ejection fraction of 45% and an abnormal regional wall motion with slight left ventricular apex hypokinesia. The patient’s maintenance immunosuppressive therapy comprised mycophenolate mofetil, 2 g, and prednisolone, 7.5 mg daily.
At a May 2022 follow-up appointment, the patient reported increasing shortness of breath and exercise intolerance over the prior year without substantial cough, chest pain or ankle edema. He noted recurrent urinary tract infections needing multiple antibiotic courses, but no chest infections. SSc gastrointestinal involvement, including vomiting, diarrhea and bloating, persisted despite taking a high-dose proton pump inhibitor and a histamine type-2 receptor antagonist for gastroesophageal reflux disease, prokinetics for esophageal dysmotility and rotational antibiotics for bacterial overgrowth in the small intestine. The patient maintained his weight with high-calorie supplements.
Examination revealed a stable mRSS of 9/51 and fine bilateral inspiratory crackles. Autoimmune serology showed speckled pattern anti-nuclear antibodies 1:1280, negative extractable nuclear antigen antibodies and no SSc-specific antibody. Laboratory test results showed hemoglobin 154 g/L, CRP 2mg/L and ESR 5 mm/hr. Cardiac markers included NT-proBNP 230 ng/L and troponin T 19 ng/L and an echocardiogram suggested a low likelihood of pulmonary hypertension. Lung function tests showed declines in forced vital capacity and DLCO (diffusing capacity of the lungs for carbon monoxide) by 18.2% and 11.8%, respectively, over the past 12 months.
Following COVID-19 vaccination and pneumocystis jirovecii pneumonia prophylaxis, the patient received rituximab (two 1 g doses at a two-week dosing interval) treatment and continued on mycophenolate mofetil, 2 g daily. Six months later, the rituximab regimen was repeated. In the first year following rituximab initiation, no infections needing antibiotic therapy occurred. Repeat lung function tests were performed and rituximab therapy continued at six-month intervals with nintedanib kept in reserve for further SSc-ILD progression.
Key Takeaways
“The main takeaways are that immunosuppression should always be considered for SSc-ILD and may need to include multiple drugs, and that ANAs used for diagnosis of SSc also help with patient stratification for risk of progressive ILD,” Dr. Denton says.
“Data from clinical trials in SSc-ILD have been extrapolated to inform management strategies in ILD related to other autoimmune rheumatic diseases. Within the immune system, routinely used treatments, such as rituximab and mycophenolate mofetil, that target B cells are beneficial. However, there is room for further improvement. Current clinical trials include exciting cellular therapy, such as CAR T and CAR NK [natural killer], to achieve more complete or durable B cell depletion with the potential to ‘reset’ the immune system and clear the autoreactive B cells,” Dr. Denton concludes. “Potential benefit and durability of these approaches will need to be carefully balanced with safety, cost and feasibility.”
Katie Robinson is a medical writer in New York.
Disclosures
Dr. Denton has received consultancy or speaker fees from Janssen, GlaxoSmithKline, Bayer, Sanofi, Boehringer Ingelheim, Roche, CSL Behring, Corbus, Acceleron, Horizon, Arxx, Lilly, Novartis and Certa.
Dr. Ong has received speaker fees from Boehringer Ingelheim.
Dr. Goldman declares no conflicts of interest.
References
- Bucala R, Solomon DH. Immunology for the rheumatologist: Arthritis & Rheumatology introduces a new problem-based immunology review series with great educational potential. Arthritis Rheumatol. 2024 Jan;76(1):9–10.
- Goldman N, Ong V, Denton C. B cells and systemic sclerosis interstitial lung disease. Arthritis Rheumatol. 2025 Jul 20. Epub ahead of print.
