For the 2024 Image Competition, the ACR sought images representing a diverse range of patients with educational or remarkable manifestations of pediatric rheumatic diseases, including autoimmune, inflammatory, infectious and malignant drivers of pediatric rheumatic disease. Here, we showcase the images selected as Best Overall.
Cavitary Lung Nodules with Sinus & Skin Disease in Pediatric ANCA-Associated Vasculitis
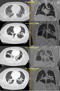
These images are of a 14-year-old boy diagnosed with PR3+ granulomatosis with polyangiitis. His disease manifested with bilateral iritis, vasculitic rash with chronic ulceration, sinus disease, arthritis, proteinuria and hemoptysis, with alveolar hemorrhage and nodules on both lungs.
From top: Figure 1 shows the evolution of very large pulmonary cavitary nodules, with computed tomography (CT) images of the chest taken at diagnosis, at disease flare, at failure of remission induction and at repeat induction. Figure 2 shows the sinus disease with edematous turbinates with copious discharge. Figure 3 is the CT scan of the sinuses, demonstrating perforation of the nasal septum and polypoid changes. Figure 4 depicts a chronic skin ulcer on the foot.
Patient update: This patient underwent repeat induction therapy in January 2024 and is currently considered in remission. He was recently tapered off systemic corticosteroids after prolonged use due to disease activity. He is on maintenance therapy consisting of 500 mg of obinutuzumab administered every six months, 30 mg of avacopan twice daily and an 800 mg/160 mg tablet of sulfamethoxazole-trimethoprim once daily. He receives intravenous immunoglobulin every four weeks for acquired hypogammaglobulinemia secondary to B cell-depleting therapy. He has been cleared to return to activity and sports as tolerated, with rescue albuterol inhaler use as needed.
Learn More
ANCA-associated vasculitis and related conditions are a developing area of understanding in rheumatology. This rare autoimmune disease causes necrotizing inflammation of the small blood vessels. It has three subtypes: granulomatosis with polyangiitis (GPA), microscopic polyangiitis (MPO) and eosinophilic granulomatosis with polyangiitis (EGPA). The condition classically affects the lungs and kidneys, although it can affect many other organs, as was the case with this patient.
In children, ANCA-associated vasculitis is nearly always fatal without medical intervention and can cause significant morbidity related to organ damage. In most cases, strong immunosuppressive treatment is indicated to put a patient into remission, although relapses remain frequent. To learn about recent advances in diagnostic tools, assessment methods and treatment options for the small-vessel vasculitides, read our article, “2024 Research Updates in ANCA-Associated & IgA Vasculitis.”





