ACR Convergence 2025| Video: Rheuminations on Milestones & Ageism

An official publication of the ACR and the ARP serving rheumatologists and rheumatology professionals

  • Conditions
    • Axial Spondyloarthritis
    • Gout and Crystalline Arthritis
    • Myositis
    • Osteoarthritis and Bone Disorders
    • Pain Syndromes
    • Pediatric Conditions
    • Psoriatic Arthritis
    • Rheumatoid Arthritis
    • Sjögren’s Disease
    • Systemic Lupus Erythematosus
    • Systemic Sclerosis
    • Vasculitis
    • Other Rheumatic Conditions
  • FocusRheum
    • ANCA-Associated Vasculitis
    • Axial Spondyloarthritis
    • Gout
    • Lupus Nephritis
    • Psoriatic Arthritis
    • Rheumatoid Arthritis
    • Sjögren’s Disease
    • Systemic Lupus Erythematosus
  • Guidance
    • Clinical Criteria/Guidelines
    • Ethics
    • Legal Updates
    • Legislation & Advocacy
    • Meeting Reports
      • ACR Convergence
      • Other ACR meetings
      • EULAR/Other
    • Research Rheum
  • Drug Updates
    • Analgesics
    • Biologics/DMARDs
  • Practice Support
    • Billing/Coding
    • EMRs
    • Facility
    • Insurance
    • Technology
      • Information Technology
      • Apps
    • QA/QI
    • Workforce
  • Opinion
    • Patient Perspective
    • Profiles
    • Rheuminations
      • Video
    • Speak Out Rheum
  • Career
    • ACR ExamRheum
    • Awards
    • Career Development
      • Education & Training
    • Certification
  • ACR
    • ACR Home
    • ACR Convergence
    • ACR Guidelines
    • Journals
      • ACR Open Rheumatology
      • Arthritis & Rheumatology
      • Arthritis Care & Research
    • From the College
    • Events/CME
    • President’s Perspective
  • Search

Interprofessional Perspective

Meet Incoming ARP President Rebecca Cleveland

Leslie Mertz, PhD  |  October 29, 2025

Incoming ARP President Dr. Rebecca Cleveland discusses her plans for advocacy, ACR/ARP collaboration, & tackling workforce shortages in rheumatology.

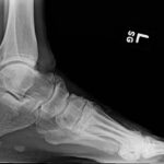
What Clinicians Should Know About Midfoot Osteoarthritis

Yvonne M. Golightly, PT, MS, PhD, Jill Halstead, BSc, MSc, PhD, MRCPod, John B. Arnold, PhD, Lara S. Chapman, MSc, BPod, Catherine J. Bowen, PhD, BPod, Marian T. Hannan, DSc, MPH, Hylton B. Menz, PhD, BPod, Kade L. Paterson, PhD, BPod, BAppSci(Hons) & Martin J. Thomas, PhD, MCSP  |  October 8, 2025

Midfoot OA experts offer an overview of a common, but under-recognized, form of OA, & discuss quality of life impacts, treatments, clinical evaluation procedures & the critical need for further research.

Insights from an Orthopedic Spine Surgeon

Jason Liebowitz, MD, FACR  |  October 8, 2025

Dr. Jay Reidler, an adult & pediatric orthopedic spine surgeon, shares insights from his field & discusses his collaborations with rheumatologists.

Inside the Association of Rheumatology Professionals’ Volunteer Selection Process

Aileen Ledingham, PT, MS, PhD, & Brendan Antiochos, MD  |  May 12, 2025

The ARP Nominations & Appointments Committee plays a pivotal role in overseeing the nominations process, ensuring the election and appointment of qualified leaders and volunteers who reflect the diverse membership of ARP. Together with the ACR’s Marketing & Communications Department, we kick off the 2025 term by promoting the annual Call for Volunteers and identifying…

Rich Data: ARP Abstracts at ACR Convergence 2025

Louise M. Thoma, PT, DPT, PhD  |  April 7, 2025

This year, rheumatology professionals in the U.S. and across the world will descend on the Windy City (Chicago) for ACR Convergence 2025. This meeting is the premier gathering place for up-to-date rheumatology education. Although the education sessions provide rich syntheses of evidence you can apply to your next patient, the real treasure is in the…

As ARP President, Adam Goode, PT, DPT, PhD, Will Draw on Power of Interdisciplinary Members

Leslie Mertz, PhD  |  November 23, 2024

The diversity of the ARP’s membership is what originally drew Adam Goode, PT, DPT, PhD, to the organization, enticed him to begin volunteering more than a decade ago and now galvanizes him as he becomes the new ARP president.

The Roles of the Interdisciplinary Rheumatology Team in Patient Care Highlighted

Kimberly Steinbarger, PT, MHS, DHSc, & Keri Losavio  |  March 4, 2024

To work together effectively, clinicians and rheumatology professionals need to understand the roles of every member of the interdisciplinary team. To enhance this understanding, the ARP Interprofessional Practice & Management Committee has undertaken a project to describe the modern roles of members of the interdisciplinary team in a series of fact sheets. The first three…

Make Way for the Interprofessional Rheumatology Team!

Kim Steinbarger, PT, MHS, DHSc  |  February 28, 2024

Editor’s note: Originally published on Oct. 12, 2023. Updated Feb. 28, 2024, to add fact sheets. According to the Agency for Healthcare Research and Quality (AHRQ), a leading cause of medical errors and poor care is a lack of communication between healthcare providers.1 As healthcare has evolved, the importance of holistic care has become more…

Beyond the Rheumatologist: Interprofessional Alliances Are Crucial to Rheumatic Care

Thomas R. Collins  |  February 14, 2024

How can we ensure patients are receiving care that addresses all of the ways rheumatic disease affects their life? In this ACR Convergence 2023 session, experts discuss the value of a strong interprofessional care team.

ARP Welcomes a New President: A Conversation with Aileen Ledingham, PT, MS, PhD

Leslie Mertz, PhD  |  November 14, 2023

With roots in physical therapy & rehabilitation research, Dr. Ledingham brings to the ARP a deep enthusiasm for volunteering & collaboration, as well as a commitment to building public knowledge about the field of rheumatology.

  • 1
  • 2
  • 3
  • Next Page »
  • About Us
  • Meet the Editors
  • Issue Archives
  • Contribute
  • Advertise
  • Contact Us
  • Copyright © 2025 by John Wiley & Sons, Inc. All rights reserved, including rights for text and data mining and training of artificial technologies or similar technologies. ISSN 1931-3268 (print). ISSN 1931-3209 (online).
  • DEI Statement
  • Privacy Policy
  • Terms of Use
  • Cookie Preferences